





2024年9月26-27日,由廈門大學附屬心血管病醫院(簡稱“廈心醫院”)和巴西梅塞亞納醫院(Hospital de Messejana Dr. Carlos Alberto Studart Gomes)共同主辦的中國-巴西心血管創新論壇以線上形式成功舉辦。本次論壇旨在慶祝中巴兩國建交50周年,深化廈門與福塔萊薩國際友城關系,促進金磚國家醫療交流與合作。

中巴雙方政府相關領導出席論壇開幕式,巴西心臟病學會代表何塞·馬爾克斯教授、中華醫學會心血管病學分會候任主任委員馬長生教授參會并致辭。來自梅塞亞納醫院、圣保羅丹特·帕贊尼斯心臟病研究所、圣保羅大學心臟研究所、圣保羅醫學院等多家巴西知名醫療機構和院校的專家們共同參與討論,分享交流臨床經驗。

本次論壇設置手術直播與病例研討環節,廈心醫院王焱教授團隊應用健世科技(Jenscare,股票代碼:9877.HK)LuX-Valve Plus經頸靜脈三尖瓣置換系統,精準完成一例極重度三尖瓣返流伴右心衰竭(NYHA II級)病例。截至目前,王焱教授團隊挑戰結構性心臟病介入手術治療難點,已成功完成超過20例經頸靜脈三尖瓣置換手術。
巴西專家們在觀摩了該手術直播后,紛紛稱贊廈心王焱教授團隊的高超技術,同時對中國自主研發的醫療器械在解決三尖瓣返流方面的創新性和優異性表示驚嘆,希望將該系統引進到巴西,為巴西三尖瓣返流患者增添新的臨床解決辦法。
案例
病史資料
67歲老年女性,雙下肢水腫7年,加重伴氣促1年,既往診斷右心衰竭,心功能III級,伴不完全性右束支傳導阻滯,輕中度二尖瓣關閉不全,心臟擴大。初步診斷以非風濕性三尖瓣關閉不全(極重度)合并擴張型心肌病收住入院,Tri-Score 14%, eGRF 33.12ml,NT-proBNP 13263 pg/mL。
術前TEE評估
1、3D TEE顯示雙房及右室擴大,右室中段直徑40mm,右室FCA 52%。三尖瓣環TAPSE 22mm,三尖瓣環左右徑49mm,三尖瓣隔葉長度16mm,前葉長度21mm,后葉長度34mm,三尖瓣前隔gap 11mm,后隔gap 5.6mm,AP gap 12mm,診斷極重度功能性三尖瓣返流(Type I型三尖瓣:Torrential FTR 5+)。
2、彩色多普勒顯示:收縮期三尖瓣口返流束起源于后隔交界、前后葉之間及前隔交界,返流束縮流頸最大寬度27mm,三尖瓣返流口EOA=2.02cm2,返流容積124ml,收縮期三尖瓣返流峰值速度2.64m/s,返流峰值壓差28mmHg,PAPs 43mmHg,舒張期三尖瓣口平均跨瓣壓差1mmHg,肝左靜脈可見明顯逆向血流波。

術前心臟CT評估

三尖瓣環平均周長徑54.3mm,最大直徑57mm

心房側周長平均徑(封堵高度)74.0mm

三尖瓣環切線位夾角 103°


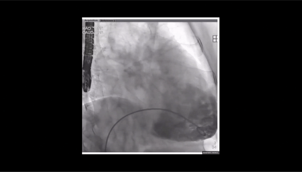
術前右室造影

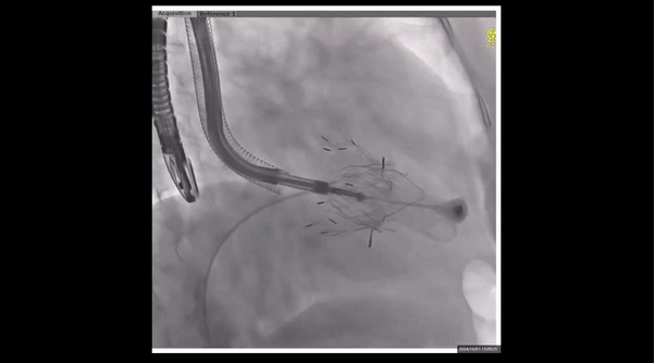
夾持件位置確認

室間隔位置確認

術后即刻返流

術后即刻返流三維
術中經食道超聲輔助下可見LuX-Valve Plus夾持件抓捕瓣葉狀態良好,夾持件在位,室間隔錨定位置良好,假體瓣膜整體錨定狀態穩固。
術后三維超聲
術后即刻經食道超聲可見,三尖瓣假體瓣膜位置合適,牛心包瓣葉運動狀態良好,開閉正常,瓣周及瓣葉對合緣處未見明顯返流,心電圖及心包狀態較術前無明顯變化。

瓣膜釋放

術前術后返流情況對比
術后總結
長期以來,三尖瓣返流的介入治療一直是結構性心臟病領域手術難點之一,挑戰在于三尖瓣特殊的解剖結構決定了其難以通過徑向支撐力進行錨定,對手術器械設計及術前MDT評估提出了很高的要求,廈門大學附屬心血管病醫院作為國內首批開展三尖瓣介入置換的手術中心之一,王焱院長團隊通過精細的多學科術前評估及手術操作,攻克三尖瓣返流介入置換難題,為患者帶來“心”的生命希望。
Prof. Dr. Diego Gaia點評
我們可以看到整個手術過程中,LuX-Valve Plus輸送系統的進入是非常順滑的,并且該病例巨大的瓣葉間隙,對于傳統的TEER療法和環縮術式是非常大的挑戰,因此三尖瓣介入置換是非常好的選擇。術中王焱院長團隊通過多次的人工瓣膜軸向調整,取得了非常好的封堵效果。室間隔錨定的設計也非常的巧妙,通過非徑向支撐的方式解決了三尖瓣假體瓣膜錨定的難題。再次恭喜王焱院長團隊順利完整這臺挑戰性的手術。
專家簡介
王焱 廈門大學附屬心血管病醫院
廈門大學附屬心血管病醫院院長,香港大學醫學博士、教授、主任醫師、博士生導師。FACC、FESC、FSCAI,國家衛生健康突出貢獻中青年專家,第三屆國家心血管病專家委員會委員,中華醫學會心血管分會全國委員,中華醫學會心血管病學分會介入心臟病學組副組長,國家心血管病專家委員會結構性心臟病專業委員會副主委,海峽兩岸醫藥交流協會心血管專委會主任委員,中國胸痛中心認證委員會副主任委員,中國醫師協會胸痛專業委員會副主任委員,中國醫療保健國際交流促進會心血管高血壓病分會副主任委員,中國老年學學會老年醫學委員會心血管病專家委員會委員,中國醫療保健國際交流促進會心血管病管理專業委員,中國醫師協會心血管內科醫師分會委員,中華醫學會福建省心血管病學分會委員。
Prof. Dr. Diego Gaia
教授,圣保羅聯邦大學心血管外科學科結構性心臟病領域負責人,擁有巴西保利斯塔醫學院的心血管外科博士學位。在哈佛大學獲得了外科領導力MBA學位,并在Insper圣保羅(經AACSB國際商學院聯合會認證)獲得了衛生管理EMBA學位。
在比利時OLV大學專攻微創手術,并在美國北卡羅來納大學專攻機器人手術,獲得了Intuitive Surgical公司認證,能夠使用達芬奇機器人系統。他同時是圣保羅市圣卡塔琳娜醫院心臟病科和AC Camargo癌癥中心心血管外科部門的負責人。2019年,他因首創結合瓣膜病變的主動脈瘤治療新技術(Endobentall)而獲得倫敦PCR Valves會議的全球最佳論文獎。
他獲得了巴西心血管外科學會和巴西介入心臟病學會的認證,能夠通過股動脈途徑及其他替代途徑植入導管瓣膜。擁有超過1000例導管瓣膜植入經驗,并負責多項全球首創技術。

聲明
本文披露內容僅作為學術交流之目的,在任何情況下均不得被視為醫療建議。我司對所有原創、轉載、分享的內容的準確性、完整性或時效性不做任何陳述或保證。
文中所涉數據僅供參考,不能視為建議或推薦,以及要約或邀請。本材料以公開信息、內部開發的數據和來自其它具有可信度的第三方的信息為基礎。但是,并不保證這些信息的完全可靠。所有的觀點和看法基于材料撰寫當日的判斷,并隨時有可能在不予通知的情況下進行調整。
本文提及的任何醫療器械,我司不對其在診療活動中的性能、臨床表現等做任何承諾及保證。