





作者:寧波市醫療中心李惠利醫院 通訊員 張瑤雯 徐晨燕
來源:寧波晚報
“10年的老毛病,終于在這里看好了!”80歲的陳大爺為醫生豎起大拇指,昨天上午他來到寧波市醫療中心李惠利醫院復查,各項指標恢復良好。

10多年前陳大爺因為胸悶氣促查出了高血壓和房顫。之后他一直用藥治療。但3年前的一個冬春交替季節,陳大爺感冒之后氣急卻一直未好轉。來到醫院一查,竟然是心力衰竭。原來王大爺心臟的三尖瓣出現嚴重的關閉不全。
心臟就像一間房子,房子內有四扇門,三尖瓣就是其中一扇門,四扇門的正常開放和關閉保障了心臟內血流的正常流動。三尖瓣關閉不全就會導致心臟內的血液無法正常流通,持續加重心臟負擔,最終導致心力衰竭。三尖瓣重度關閉不全的患者死亡率極高,一旦出現心力衰竭藥物治療效果非常局限,外科瓣膜手術風險又極高。陳大爺無奈選擇了藥物保守治療。
但三年來病情一直進展。只要季節更替或者感冒之后,就誘發心衰,陳大爺少則住院一星期,多則要10多天。
一月前陳大爺被家人推著輪椅找到了寧波市醫療中心李惠利醫院,心衰再次發作,而且這次他連晚上睡覺都躺不平,藥吃了不少卻不見效果。主管醫生金星星副主任醫師和麻付勝主任醫師給予充分的抗心衰治療后,陳大爺癥狀得到暫時緩解。

但是陳大爺的重度三尖瓣關閉不全已經造成肝腎功能損害,繼續發展則會出現肝硬化、腎衰竭,并增加猝死風險。他的治療迫在眉睫,但是藥物保守治療只能“治標不治本”,外科手術風險太高,陳大爺不能接受。怎么辦?寧波市醫療中心李惠利醫院心臟瓣膜中心團隊迎難而上,葉紅華院長召集了瓣膜中心的心血管內科和心臟大血管外科、超聲科、麻醉科、CCU(心臟監護)等10余名專家多學科會診。
最終他們決定通過頸靜脈經導管置換陳大爺的三尖瓣。這是一類微創手術,將導管通過接近體表的動脈或靜脈順著人體的血管通道到達心臟瓣膜部位,之后將人工制作的瓣膜通過導管植入,替代患者病變的瓣膜發揮正常瓣膜功能。但位于右心系統的三尖瓣置換手術難度更高,手術對血流動力學的改變更為復雜,一直是心臟瓣膜置換手術中最難啃的“硬骨頭”,微創經導管三尖瓣置換術為老年患者帶來了新希望,我國原創的經頸靜脈LuX-Valve三尖瓣置換術目前處于全球經導管微創治療三尖瓣領域的前沿,在全國也僅有數家頂級醫院的瓣膜中心可以開展。

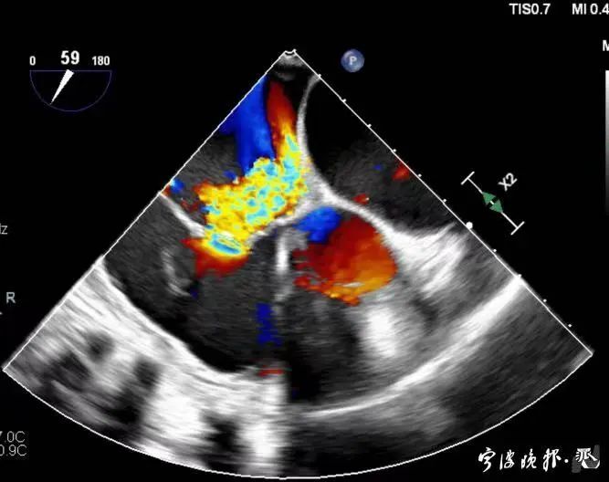
術前食道心超示三尖瓣重度反流

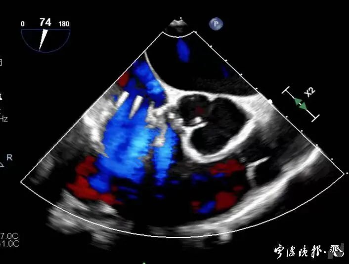
術后食道心超示三尖瓣反流消失
得知可以微創手術,陳大爺一家決定放手一搏。寧波市醫療中心李惠利醫院心臟瓣膜中心團隊反復就術前準備、手術步驟及術后可能出現的各種情況做了預案。3月4日,陳大爺的手術成功進行,術中得到LuX-Valve經導管三尖瓣置換術原創團隊,上海長海醫院陸方林主任團隊的鼎力支持,術后陳大爺的心臟三尖瓣反流立即消失。術后瓣膜中心CCU(心臟監護)團隊和心內科團隊迎接一個又一個右心瓣膜置換后的血流動力學改變等帶來的挑戰,克服種種難關,二周后患者進入早期心臟康復。目前陳大爺已經順利出院,沒有胸悶氣急,生活自理,精神狀態也很好,瓣膜中心團隊也在對他持續隨訪中。
寧波市醫療中心李惠利醫院心臟瓣膜中心2022年獲批全國第二批,我市首批國家級心臟瓣膜中心建設單位,常規開展經導管主動脈瓣置換術,經導管二尖瓣關閉不全夾閉術等瓣膜病介入治療,本次成功挑戰浙東地區首例頸靜脈入路經導管三尖瓣置換術,微創瓣膜介入治療能力穩步提升,心臟瓣膜中心團隊將秉承仁心仁術的惠利精神,以創新和卓越為宗旨,為打造浙里健康新高地貢獻惠利力量。