





近日,福建省立醫院心內科郭延松教授心臟瓣膜介入治療團隊聯合浙江大學醫學院附屬第二醫院王建安教授團隊,在福建省首次應用JensClip經導管瓣膜夾系統為三例二尖瓣重度反流患者開展經導管二尖瓣緣對緣修復手術。手術獲得圓滿成功,患者重獲“心”生。術后即刻顯示二尖瓣反流顯著改善,術畢即刻拔管,患者恢復良好。此次介入手術的成功再次標志著福建省立醫院心內科郭延松教授心臟瓣膜團隊在二尖瓣重度反流修復介入治療研究領域取得了進一步提升,為二尖瓣重度反流患者帶來更多的臨床獲益。

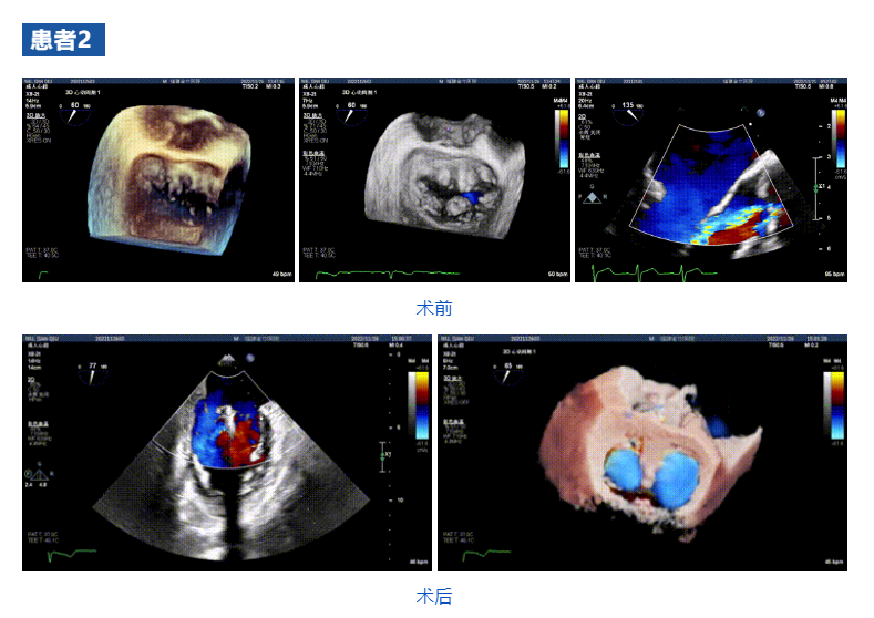
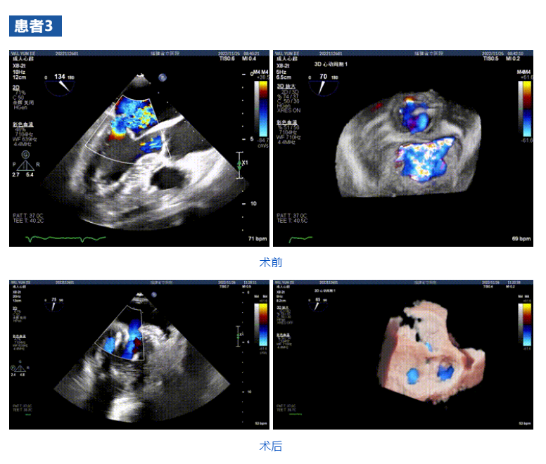
接受治療的三例患者均為器質性重度二尖瓣反流(DMR)患者,術前超聲提示二尖瓣后葉脫垂伴4+反流,左室舒張功能減退。郭延松教授攜同團隊成員陳新敬副教授和洪景宣、方明程、楊清勇主治醫師、心外科丁杭主任以及超聲科賴寶春、葉振盛主治醫師共同進行病情討論。考慮到患者高齡、基礎疾病多、STS評分高,為外科手術極高危患者,不適合進行外科開胸二尖瓣手術,因此決定為患者實施經導管緣對緣修復介入術(JensClip經導管瓣膜夾系統)。
在浙江大學醫學院附屬第二醫院王建安教授團隊的支持下,手術經股靜脈-房間隔入路,采用全身麻醉插管,在TEE和DSA引導下完成房間隔穿刺。置入JensClip瓣膜夾系統后,在左房調整瓣膜夾的位置和軸向,后進入左室,在TEE引導下捕捉二尖瓣前后瓣葉,并關閉瓣膜夾。經TEE反復確認手術效果后最終鎖定并釋放瓣膜夾。術后即刻超聲顯示瓣膜夾位置穩定,功能良好,二尖瓣反流由術前4+減少至微量,手術圓滿成功。



此次手術采用的JensClip經導管瓣膜夾系統是寧波健世科技股份有限公司自主研發的創新經股靜脈入路的介入二尖瓣緣對緣修復產品,采用獨特的機械鎖閉和一體式解脫結構設計,具有瓣葉單獨捕捉、分別夾合、可靠鎖固、一鍵解脫、雙向可回收等特點。JensClip經導管瓣膜夾系統機械性能優越,操作可重復性高,為術者提供更多機會。產品核心傳動及鎖定結構設計技術達到國際先進水平,并申請了多項中國和國際專利,相信未來JensClip會為二尖瓣反流治療提供又一有效新選擇。
二尖瓣返流是全球常見的心臟瓣膜疾病,總體人群發病率為1.7%,隨年齡增長發病率升高。如果不積極治療,會導致患者出現心律不齊、心衰、中風、甚至死亡的風險。二尖瓣重度返流的介入治療一直是心血管介入領域的難點和熱點。對于有癥狀且無法耐受外科手術治療的病人,經導管二尖瓣介入治療已成為目前治療二尖瓣重度返流的有效手段。經導管二尖瓣緣對緣修復術無需開胸、無需心臟停搏、無需體外循環、無需切開心臟,只需要一個靜脈穿刺點,即可完成二尖瓣的修復。此次手術的成功再次驗證了股靜脈-房間隔入路經導管二尖瓣緣對緣修復手術的安全性和有效性。福建省立醫院心內科郭延松教授帶領團隊率先在國內多次成功開展經導管二尖瓣緣對緣修復術,為廣大不能耐受手術的二尖瓣重度返流患者帶來更多獲益。