





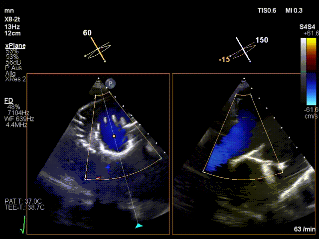
近日,德國慕尼黑大學Jörg Hausleiter教授團隊成功應用LuX-Valve Plus經血管三尖瓣置換系統救治了一例因三尖瓣大量反流導致的右心衰竭患者,術后超聲顯示人工三尖瓣位置固定滿意,瓣架穩定,無反流和瓣周漏。患者在手術室即刻拔除氣管插管,血流動力學改善顯著,LuX-Valve Plus經血管三尖瓣置換系統的治療效果優異。

接受本次LuX-Valve Plus經血管三尖瓣介入置換手術的是一位三尖瓣重度反流的高齡老人,本打算接受心臟移植,平日居住在社區公寓,無人照料,近些年心衰癥狀日益加重。由于心臟供體緊缺,加之外科換瓣手術風險高,Jörg Hausleiter教授團隊經術前詳細評估,認為經導管三尖瓣介入治療或許是一種新的選擇。由于患者三尖瓣解剖結構復雜,術前有ICD植入史,歐洲沒有合適的商業化和臨床試驗的產品可以對其進行治療。Jörg Hausleiter教授判斷,LuX-Valve Plus經血管三尖瓣置換系統是通過歐洲監管許可的可以對該患者進行有效治療的產品。因此,Jörg Hausleiter教授團隊最終決定使用中國創新器械LuX-Valve Plus經血管三尖瓣置換系統為患者進行手術。

手術在全麻狀態下進行。在加拿大圣保羅醫院的Anson Cheung教授的指導參與下,術者采用經右側頸靜脈入路的方式將輸送器送入患者心臟內,在TEE及DSA引導下調整輸送器頭端角度,使得輸送器與三尖瓣瓣環平面垂直。在輸送器進入右心室后釋放室間隔錨定裝置,而后釋放瓣葉夾持件(2個耳片結構)成垂直狀態。在TEE及DSA確定夾持件固定至三尖瓣葉根部且位于右室側后釋放人工瓣心房側盤片。隨后調整瓣膜同軸性以及室間隔錨定件位置(貼合室間隔),前推藏針管并固定,進而釋放室間隔錨定裝置,并再次確認瓣膜位置、穩定性及同軸性,合攏輸送鞘后撤出輸送器,完成LuX-Valve Plus人工三尖瓣瓣膜的植入。

LuX-Valve Plus經血管三尖瓣置換系統本次“出海”圓滿完成,術后Jörg Hausleiter教授對LuX-Valve Plus經血管三尖瓣置換系統的器械性能和治療效果大為稱贊,認為LuX-Valve Plus的手術體驗非常好。術后即刻超聲顯示三尖瓣反流消失,血流動力學改善顯著,患者恢復快。Anson Cheung教授也肯定了LuX-Valve Plus術中操作的便捷性,認為LuX-Valve Plus容錯率高,對術中影像的依賴較小,后期希望可以更多的應用LuX-Valve Plus三尖瓣置換系統于臨床實踐,讓更多的三尖瓣重度反流患者盡早獲益,改善預后。

LuX-Valve Plus經血管三尖瓣置換系統是我國擁有完全自主知識產權的心臟瓣膜介入治療產品,在全球范圍內率先引用“非徑向支撐力”和“室間隔固定”的設計理念(即采用貼靠支撐和室間隔錨定的方式進行人工瓣膜的固定),能更好適應三尖瓣結構菲薄脆弱的特性,并且采用經頸靜脈入路的方式,對患者的損傷進一步減小。目前,LuX-Valve Plus全國多中心FIM研究已全部完成入組,LuX-Valve Plus全國確證性臨床研究即將開始患者入組;此外,LuX-Valve Plus全球救治性臨床研究還在持續開展中,我們相信更多的三尖瓣重度反流患者將因此獲益。
延伸閱讀
華西醫院郭應強教授團隊首次應用LuX-Valve Plus行三尖瓣置換術獲圓滿成功!
頸靜脈穿刺微創三尖瓣置換:安貞醫院心外科張海波教授團隊成功完成LuX-Valve Plus重癥病例手術
TCTAP 2022 | 加拿大LuX-Valve Plus轉播獲多國專家好評
乘風出海|Lux-Valve Plus于加拿大完成首例入組,正式拉開海外臨床研究帷幕
任重道遠,挑戰高難度|葛均波院士團隊一周內完成三例高難度經血管三尖瓣置換手術
喜訊|葛均波院士團隊完成的首批兩例LuX-Valve Plus經血管三尖瓣置換患者1周內康復出院!
再續精彩:葛均波院士團隊完成全球第二例Lux-Valve Plus經血管三尖瓣置換術
葛均波院士團隊成功應用Lux-Valve Plus完成經血管介入三尖瓣置換臨床前研究!