





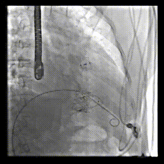
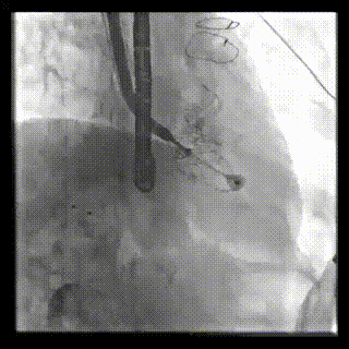
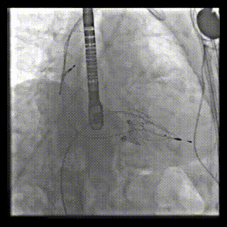
2021年12月24日,復旦大學附屬中山醫院葛均波院士團隊成功應用LuX-Valve Plus為一例極重度三尖瓣反流(TR)合并房顫、房缺的患者完成了經血管三尖瓣置換術,這是在前基礎上,本周完成的第三例經血管三尖瓣置換手術,葛均波院士、周達新教授等與心外科魏來教授、賴顥教授,心超室的潘翠珍教授、李偉教授及麻醉科的郭克芳教授共同完成了本周手術,均獲得圓滿成功!患者術后超聲顯示無TR,臨床癥狀明顯改善。本周手術的成功也為LuX-Valve Plus救治性臨床研究添上了濃墨重彩的一筆。

本周三例接受LuX-Valve Plus經血管三尖瓣置換術的患者中,第一例患者為冠狀動脈旁路移植術+Bentall+二尖瓣成形術后;第二例患者為永久起搏器植入術后,存在跨三尖瓣導線;第三例患者合并房顫、房缺及左心耳封堵術后。
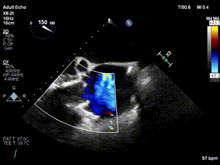
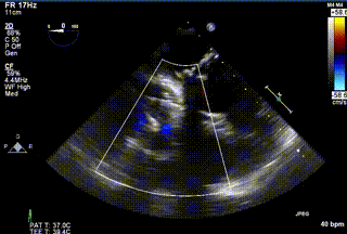
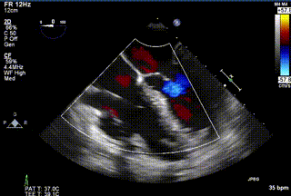
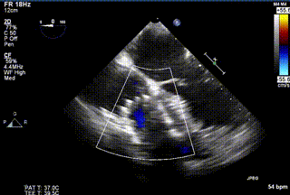
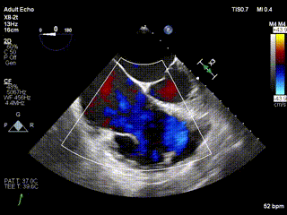
三例患者入院后,葛均波院士團隊周達新教授、潘文志教授、張源博士、陳莎莎博士及心超室的潘翠珍教授、李偉教授對患者的情況進行詳細評估和討論,最終決定為三例患者選擇LuX-Valve Plus40mm、50mm和50mm型號的瓣膜進行手術治療。手術后即刻拔除氣管插管,術后患者三尖瓣反流癥狀得到顯著改善,復查心超結果顯示人工三尖瓣瓣膜支架固定穩定,瓣葉關閉形態未見異常,未見明顯反流。

中、重度三尖瓣反流(TR)是一種常見的瓣膜疾病,發病率高,并且目前缺少有效的治療手段。有數據顯示[1],65歲和75歲以上人群分別有2.7%和3.96%存在中重度三尖瓣反流。中、重度三尖瓣反流以繼發性(功能性)TR常見,原發性(器質性)少見。繼發性(功能性)TR通常繼發于左心瓣膜病或心肌疾病,尤其在永久起搏器植入術后和左心人工瓣膜植入術后,中、重度三尖瓣反流患者比例逐年升高。2020年流調數據顯示[2],起搏器和左心人工瓣膜植入術后中重度反流的患者比例高達40%和67%。隨著兩類手術的數目逐年上升,每年相應的新發中重度反流患者也將增加。根據沙利文數據預測[2,3],2025年起搏器植入和左心人工瓣膜植入術將分別達到14萬例/年和10萬例/年,對應需要進行干預的三尖瓣中重度反流患者將達到5.7萬例/年和6.6萬例/年。因此,有效治療中重度三尖瓣反流患者仍然是臨床醫生亟需解決的重點問題。
LuX-Valve Plus是LuX-Valve系列產品的第二代,采用的是經血管入路的全新輸送系統,其設計開發過程得到了上海中山醫院葛均波院士及其團隊的精心指導,研究結果提示瓣膜植入的安全性和有效性俱佳,尤其瓣膜獨特的設計使其具有極佳自適應性,本周三例患者病因及解剖結構各具特點,但均可從LuX-Valve Plus植入術明顯獲益。目前,LuX-Valve Plus已在全國各中心開展救治性臨床研究,相信未來定會為更多的三尖瓣反流患者帶來福音。









參考文獻:
1.Coffey S,Loudon MA,et al.Large-scale community echocardiographic screening reveals a major burden of undiagnosed valvular heart disease in older people:the OxVALVE Population Cohort Study.Eur Heart J 2016;37:3515-3522.
2.Anvardeen, K., Rao, R., Hazra, S., Hay, K., Dai, H., Stoyanov, N., Birnie, D., Dwivedi, G., & Chan, K. L. (2019). Lead-Specific Features Predisposing to the Development of Tricuspid Regurgitation After Endocardial Lead Implantation. CJC Open, 1(6), 316–323. https://doi.org/10.1016/j.cjco.2019.10.002.
3.Addetia, K. (2019). Cardiac Implantable Electronic Device Lead-Induced Tricuspid Regurgitation. CARDIOVASCULAR IMAGING, 12(4), 15.